Smile Gallery
Carla was very uncomfortable with her missing front tooth and was wearing a removable denture-- a flipper. A dental implant was placed and she returned later for the new crown. The picture shows a shade guide and an implant in the site of where her front tooth was. After is the restored implant crown by Dr Dicello. An Emax crown was carefully layered for esthetics. It looks great and she should have it for many years to come! We're happy for you Carla. Keep smiling!


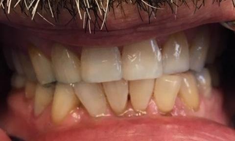
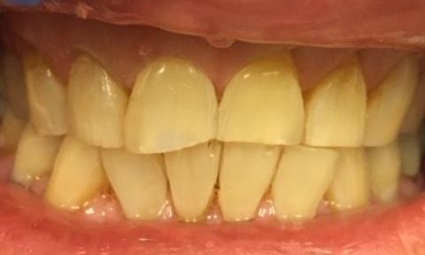
Ken hadn't been to the dentist in years, and was concerned that he would lose his front teeth due to cavities. Dr. Dicello was able to save his teeth and help him achieve this beautiful smile. We're so happy for you Ken!



George was never happy with his slanted and worn front teeth. Dr Dicello was able to lengthen, whiten and restore his front teeth in one day!


Gary's two implants allow his denture to snap securely giving him the self confidence of beautiful teeth and ability to eat what he wants!